החיוך שלנו הוא אחד הכלים החברתיים החזקים ביותר העומדים לרשותנו. הוא משדר ביטחון עצמי, חיוניות ופתיחות.
כאשר השיניים הקדמיות שלנו נפגעות – אם כתוצאה מחבלה, עששת נרחבת או שחיקה הפגיעה היא לא רק תפקודית, אלא בעיקר רגשית.
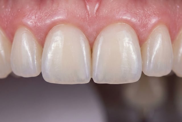
בעבר, הפתרונות לשיקום שיניים קדמיות היו מוגבלים והותירו אותנו לעיתים עם חיוך שנראה "מלאכותי".
כיום, הודות לטכנולוגיית כתרי הזירקוניה, ניתן להשיג שחזור שנראה ומרגיש בדיוק כמו השן המקורית.
מה הופך את השיניים הקדמיות לאתגר מיוחד?
השיניים הקדמיות נמצאות במה שנקרא "האזור האסתטי".
בניגוד לשיניים הטוחנות, שבהן הדגש העיקרי הוא על עמידות בלחצי לעיסה חזקים, בשיניים הקדמיות עלינו להתחשב בפרמטרים ויזואליים דקים:
השתקפות האור, הגוון המדויק, השקיפות של קצות השן והחיבור העדין עם קו החניכיים.
כתרי הזירקוניה נכנסו לוואקום הזה כפתרון אידיאלי, המצליח לגשר על הפער שבין "חזק מאוד" לבין "יפה מאוד".
מהי בעצם זירקוניה?
זירקוניה (Zirconium Dioxide) היא סוג של קרמיקה מתקדמת המכונה לעיתים "פלדה קרמית".
מדובר בחומר חזק במיוחד, עמיד בפני שברים ושחיקה, אך יחד עם זאת הוא בעל תכונות אופטיות ייחודיות.
בניגוד לכתרים הישנים שהיו מורכבים משכבת מתכת ועליה ציפוי חרסינה (PFM), כתר זירקוניה הוא "Full Contour" או בנוי משכבות קרמיקה ללא גרעין מתכתי כלל.
היתרונות של כתרי זירקוניה בשיניים קדמיות
1. אסתטיקה טבעית ללא פשרות
היתרון המשמעותי ביותר הוא השקיפות (Translucency).
השן הטבעית שלנו אינה אטומה; האור חודר דרך שכבת האמייל וחוזר החוצה.
כתרי זירקוניה מחקים את התכונה הזו בצורה מושלמת.
בכתרים עם בסיס מתכת, האור נחסם על ידי המתכת, מה שגורם לשן להיראות אטומה, "מתה" ולא טבעית תחת תאורה חזקה או פלש של מצלמה.
הזירקוניה מעניקה חיוך "חי" וזוהר.
2. להתפרק מהפס האפור בחניכיים
רבים מאיתנו מכירים את התופעה של "פס אפור" המופיע בחיבור שבין הכתר לחניכיים.
בכתרים ישנים, עם הזמן החניכיים נסוגות מעט וחושפות את שולי המתכת של הכתר.
בכתר זירקוניה, מכיוון שהחומר כולו לבן או בעל גוון שן, גם אם תתרחש נסיגת חניכיים קלה בעתיד, לא יופיע שום פס כהה.
המראה האסתטי נשמר לאורך שנים רבות.
3. בריאות החניכיים והתאמה ביולוגית
הזירקוניה נחשבת לחומר "ביו-קומפטבילי", כלומר הגוף מקבל אותה בצורה מצוינת. היא אינה גורמת לתגובות אלרגיות,
ורקמת החניכיים סביבה נוטה להישאר בריאה וללא דלקות (בהשוואה למתכות בסיס שעלולות לגרום לגירוי).
בנוסף, פני השטח של הזירקוניה חלקים מאוד, מה שמקשה על הצטברות פלאק וחיידקים.
4. דיוק דיגיטלי (CAD/CAM)
ייצור כתרי זירקוניה מתבצע ברוב המקרים באמצעות טכנולוגיה ממוחשבת.
במקום לקחת מידות עם חומרים פלסטיים לא נעימים, מבצעים סריקה דיגיטלית של הפה.
המחשב מתכנן את הכתר בדיוק של מאיות המילימטר, ומכונת חריטה (CNC) מייצרת אותו מבלוק זירקוניה.
התוצאה היא התאמה מושלמת למבנה השן, מה שמונע חדירת עששת מתחת לכתר.
כיצד שומרים על כתרי זירקוניה?
למרות שהזירקוניה אינה יכולה לסבול מעששת, השן שמתחתיה והחניכיים מסביב עדיין זקוקות לטיפול.
תחזוקה של כתרי זירקוניה זהה לתחזוקה של שיניים טבעיות:
-
צחצוח קפדני פעמיים ביום.
-
שימוש בחוט דנטלי או אביזרים בין-שיניים.
-
הגעה לשיננית פעם בחצי שנה.
-
הימנעות מהרגלים מזיקים כמו כסיסת ציפורניים או פתיחת פקקים עם השיניים (שיכולים לסדוק גם שיניים טבעיות).
בחירה בכתרי זירקוניה לשיניים הקדמיות היא השקעה לטווח ארוך באיכות החיים ובביטחון העצמי שלכם.
מדובר בטכנולוגיה שמאפשרת לנו היום לשקם את החיוך בצורה שלא ניתן להבחין שמדובר בעבודה דנטלית.
אם אתם זקוקים לכתר בשיניים הקדמיות, אל תתפשרו על פחות מהטוב ביותר הזירקוניה תעניק לכם את השקט הנפשי ואת החיוך המושלם שתמיד רציתם.
מעוניינים בייעוץ אישי והתאמת כתרי זירקוניה? אנחנו כאן כדי לעזור לכם לחייך שוב בביטחון מלא. צרו איתנו קשר עוד היום!
